Samme kennel - nyt design

Nyheder

VELKOMMEN til vores nye hjemmeside.
Efter flere år har vores hjemmeside nu fået et tiltrængt face-lift, der er kommet nye sider og alt er nu opdateret. Hjemmesiden vil løbende blive opdateret under nyheder, hvalpeplaner og hvalpekassen. Skolehunden Buddy har også fået sin helt egen side, læs mere om Buddy og alle hans bedrifter eller om skolehundeuddannelse generelt. 

D. 23.06.2023

Ester, Grejsens Golden Something Beautiful, og Bjarne, Golden Dixie's Bulletproof, er blevet forældre til 3 drenge d. 22/6. 
Det betyder at hvalpene vil være rejseklare omkring slut august (uge 29). Hvalpene vil fremad kunne følges på deres egen side. Siden bliver opdateret ugenligt, så man har mulighed for at følge med i hvalpenes vækst og trivsel. 

Læs mere ved at klikke her.

 

D. 14.05.2023

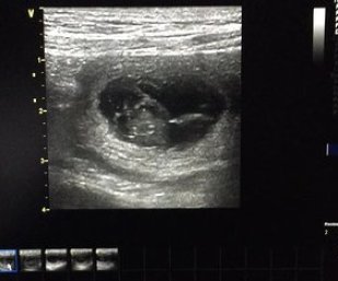
Ester, Grejsens Golden Something Beautiful, er scannet drægtig med Bjarne, Golden Dixie's Bulletproof. 
Det betyder derfor at vi nu, at vi forventer hvalpe omkring midt juni og hvalpene vil være rejseklare omkring august. Hvalpene vil kunne følges på deres egen side efter fødsel. Siden bliver efterfølgende jævnligt opdateret, så man har mulighed for at følge med i hvalpenes vækst og trivsel. 

Læs mere ved at klikke her.

 

D. 29.01.2023

Vi planlægger hvalpe på Ester, Grejsens Golden Something Beautiful, i hendes kommende løbetid. Ester skal parres med Bjarne, Golden Dixie's Bulletproof. 
Vi glæder os til at der endnu engang kommer hvalpe i hjemmet igen. Siden bliver løbende opdateret. 

 

D. 09.01.2023

Ester, Grejsens Golden Something Beautiful, er i dag blevet øjenlyst fri. Så vi glæder os til nu at kunne planlægge hendes kommende kuld her til foråret.

Læs mere om Ester her

 

D. 20.06.2022

Duffy, Grejsens Golden On Your Shore, er scannet drægtig. Vi glæder os til hvalpe slut juli. 

D. 19.03.2022

Ester, Grejsens Golden Something Beautiful, har været en tur forbi den meget dygtige fotograf hos Chagal Foto. Det kom der nogle rigtigt flotte billeder ud af. 

Se mere om Chagal på: www.chagalfoto.dk

D. 15.03.2022

Duffy, Grejsens Golden On Your Shore, er endnu engang øjenlyst uden anmærkninger. 
Se mere om Duffy på hendes egen side ved at klikke her

D. 21.12.2021

Det er med tungt hjerte, at vi idag måtte tage afsted med vores højt elskede Lyra på 12½ år. Lyra var elsket af alle hundene, vores familie og specielt Katrine, hun efterlader et tomrum, som bliver svært at fylde ud. Men vi mindes alt det gode og alle de år vi var så heldige at få med hende. 
Hun er og vil være savnet, heldigvis lever hun videre i hendes børn. 

D. 29.11.2021

Fantatsiske nyheder, vores Ester, Grejsens Golden Something Beautiful, er gået igennem på sundheden. 
Læs på Esters egen side

D. 18.01.2020

Jeg er nu færdig med uddannelsen til Grundinstruktør i hundetræning, og glæder mig til at vejlede nye og "gamle" hundefører.

Jeg brænder for træning i Nose Work og Hvalpetræning.

D. 16.09.2019
I dag har været sorgens dag, efter 11 ½ år har vi måtte sige farvel til vores elskede Abbi. Hun var stamtavlen til mit opdræt og uden hende var jeg ikke der hvor jeg er i dag i min kennel. Hun vil aldrig blive glemt, for evigt have en særlig plads i vores hjerter. Vi vil altid tænke på hende hver gang vores rhododendron blomstre. 

D. 11.09.2019
Desværre var Duffy ikke med hvalpe efter Orla (Giddygold Sky & Snow). Vi planlægger derfor at parre Duffy i hendes næste løbetid til foråret. 

Følg med under hvalpeplaner, når vi offentliggør kombinationen. Ved interesse  eller spørgsmål kontakt os endelig.

Læs mere under hvalpeplaner

D. 26.08.2019
Jeg har nu fået endnu et bevis fra DRK (Dansk Retriever Klub) som Nose Work Instruktør, efter at have deltaget i mange spændende og lærerige timer. 

Læse mere om Nose Work ved at klikke her

D. 15.07.2019
Duffy, Grejsens Golden On Your Shore, er nu øjenlyst fri og vi glæder os til det kommende kuld. 
Faren til det kommende kuld er Orla, Giddygold Sky and Snow. 

D. 05.06.2019
Vi planlægger hvalpe i efteråret 2019. Vi har planer om at parre Duffy, Grejsens Golden On Your Shore, omkring august / september. Følg med under hvalpeplaner når vi offentliggør hvilken hanhund, hun skal parres med. 

D. 28.04.2019
I dag har Andrea været på skue i Billund. Endnu engang gjorde Andrea det super flot, fik Excellent, 1. vinder i juniorklassen, 1. BTK og BIR (bedst i racen). Derfor skulle hun igen en tur i stor ring med de øvrige vindere fra de andre racer. Tusind tak til dommer, Lise Møller Frandsen, for den fine kritik på Andrea. 

D. 07.04.2019
Andrea har været på skue denne weekend i Kolding. Hun klarede det super flot, blev 1. vinder og måtte derfor også en tur i stor ring. 

D. 05.04.2019
Emmeli har været en tur hos dyrlægen for at blive røntgenundersøgt forud for fødsel. Vi får taget røntgen billede for at have en ide om hvor mange hvalpe vi kan forvente ved fødsel - både af hensyn til hvalpene og tævens sikkerhed. Dyrlægen vurderer at hun gemmer på 8 guldklumper. Vi glæder os! 

Vi forventer fødsel omkring uge 16, hvalpene vil derved være klar til at flytte hjemmefra i første halvdel af juni. Når hvalpene er født, kan de følges i hvalpekassen. 

D. 14.03.2019
Emmeli er scannet drægtig. Vi forventer fødsel omkring uge 16, hvalpene vil derved være klar til at flytte hjemmefra i første halvdel af juni. Når hvalpene er født, kan de følges i hvalpekassen. 

D. 11.12.2018
Emmeli skal parres - vi venter hvalpe i foråret 2019! Emmeli skal i starten af det nyr år parres med Note (DKJUCH Giddygold Silver & Gold Sweet Note) fra Kennel Sea Pimpernel. Læs meget mere om den spændene kombination under hvalpeplaner, eller ved at klippe på linket her .

D. 03.11.2018
Vi har været afsted på International udstilling i Herning, hvor Andrea havde sit første officielle debut. 
Hun klarede bare det hele til UG, fik SL1 i baby klassen samt BIR BABY! Men en flot kritik fra dommeren, måtte Andrea en tur i stor ring sammen med alle de andre baby'er fra alle de øvrige racer. Her blev vi desværre ikke valgt ud, men det var en rigtig god og spændende oplevelse for os begge. 

D. 20.08.2018
Vi byder Andrea velkommen til familien. Andrea er en Bracco Italiano og tilhører de stående jagthunde. Hun har allerede taget familien og golden-flokken med storm. Vi glæder os meget til at se hvad fremtiden vil bringe for Andrea, hun skal bruges til bl.a. Nosework. Læse mere om Andrea her: